Specialised Dentistry in Durban Kwazulu Natal.JPG

SPECIALISED DENTISTRY

Specialised Dentistry - Durban, Kwazulu Natal

Specialised Dentistry is something we often need in life.

From dentures, braces and other appliances to inlays, onlays and even jewellery.

Finding a competent and experienced dentist is a critical factor when it comes to this kind of dental work.

At Aesthetic Dental Centre, service, quality and cost are cornerstones of our business ethos.

We're a high-end, family friendly and budget friendly dental clinic with passionate, highly experienced staff that use only the best FDA and ADA approved materials.

If you looking for quality and affordable dentistry then look no further.

Try out our Free Online Consultation or Contact Us for further information and a quote.

Enjoy browsing through the tabs below, to learn more about each specific service:

If you're looking for Basic Dentistry, click here.

  1. Acrylic Dentures
  2. Rubber Dentures
  3. Chrome Dentures
  4. Inlays, Onlays, Crowns
  5. Veneers
  6. Orthodontic Appliances
  7. Snoring Devices
  8. Non-Invasive Botox Dentures
  9. Tooth Jewellery
  10. Removable Grills
  11. Twilight Crowns
  12. 1 Hour iCrowns

Acrylic Dentures

Acrylic Dentures are durable, removable false teeth made to fit snugly over the gums to replace missing teeth and remove potential problems caused by having gaps.

They are less expensive than porcelain, and much lighter in weight although they wear faster and may need to be replaced every five to eight years as a result.

Valpast Flexible Rubber Dentures

A cast thermo plastic denture that is thin, lightweight, and flexible with invisible clasps that surround the natural teeth.

Flexible partials are a quality premium product that offer the benefits of superior esthetics, comfort, function and bio-compatibility.

Valpast is one of the most cosmetic, comfortable and affordable methods of tooth replacement available today.

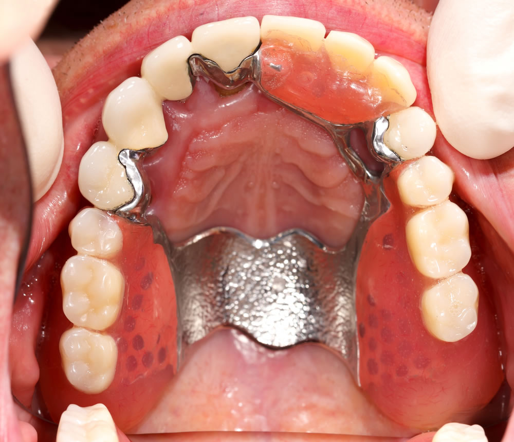
Cobalt Chrome Dentures

Cobalt chrome dentures can be used to replace one or more missing teeth.

Unlike acrylic dentures, chrome dentures have a much thinner framework behind the teeth, and clasps are often incorporated to fasten the denture to natural teeth.

With this, the denture tends to be more comfortable and secure compared to acrylic dentures.

Inlays & Onlays

Inlays and onlays provide an alternative to fillings, replacing part of a tooth that has been lost because of decay, wear or accidental damage.
They are stronger and can last longer than fillings, and are especially suitable for the chewing surfaces on back teeth and large repairs to front teeth.

Onlays and inlays can be made of metal, composite or porcelain – the latter results in a repair that is virtually undetectable.

An inlay sits in a hole in the tooth.
An onlay sits on the tooth and builds up its shape.

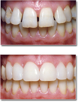
Crowns

A dental crown is a tooth-shaped "cap" that is placed over a tooth to cover the tooth to restore its shape and size, strength, and improve its appearance.

The crowns, when cemented into place, fully encase the entire visible portion of a tooth that lies at and above the gum line.

Veneers

Dental veneers are wafer-thin, custom-made shells of tooth-colored materials designed to cover the front surface of teeth to improve their appearance. These shells are bonded to the front of the teeth changing their color, shape, size, or length.

They can be made from porcelain or from resin composite materials.
Porcelain veneers resist stains better than resin veneers and better mimic the light reflecting properties of natural teeth.
Resin veneers are thinner and require removal of less of the tooth surface before placement.

You will need to discuss the best choice of veneer material for you with your dentist.

Orthodontic Appliances

Orthodontic appliances are used for correcting misaligned teeth, perfecting smiles and more.

Applicances include, for example:
Braces, Bands, Brackets, Wires, Headgear, Rubber bands, Retainers

Snoring Devices

Snoring is a very common issue affecting anywhere from 25-45% of the population.
Sadly enough, it is also such an embarrassing problem that it can deter people from seeking help or otherwise dealing with it.

It’s important to understand that snoring is much more than just “some noise in the night”. It can have long term and potentially severe effects.
We are able to supply you with a custom fit anti-snoring device.

Non-Invasive Botox Dentures

Until recently, patients have had to seek expensive, painful, irreversible and sometimes dangerous methods to address facial signs of aging such as wrinkles around the mouth and lips.

We now have a non-surgical, non-invasive cosmetic device that can achieve similar results without the pain, expense and danger.

Cosmetic Custom Made Tooth Jewellery

Tooth jewellery is one of the latest fashion trends, with the aim of giving your smile that extra sparkle, using gems or jewels.

Jewels are available in a range of styles and the procedure is very quick and simple. Having a tooth jewel is a safe and simple way of making your smile unique and you can choose a gem to suit your style and personality.

Removable Grills

A grill (most commonly spelled as grillz also fronts or golds) is a type of easily removable jewellery worn over the teeth.

Grills are made of metal (often silver, gold or platinum) and are generally removable. They are sometimes inlaid with precious stones or semi-precious stones.

Vampire / Twilight Crowns

We can supply custom, high-end, user-friendly, natural coloured caps/crowns that fit over a single tooth.

1 Hour iCrowns - Fitted while you wait

We can supply and fit our unique range of iCrowns, which are crowns fitted while you wait.